Patient 2
The patient presented with numerous decayed and broken teeth and expressed a strong desire for improved oral health. Ultimately, we placed five implants, resulting in a complete restoration of her dentition with a beautiful set of teeth. This case was conducted under the care of Dr. Rittenbach and in collaboration with Dr. Courtney Fitzpatrick.
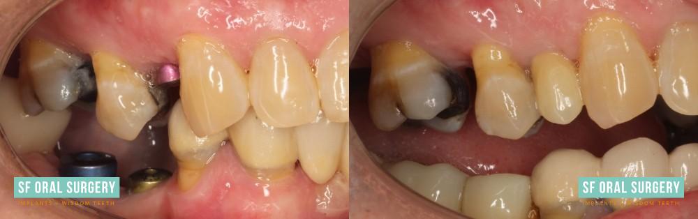
Patient 3
Patient 4
Patient 5
Patient 6
Patient 7
Patient 8
Patient 9
Dental Implants
Patient presented to our office with multiple non-restorable teeth, unfortunately, due to medication-related "dry mouth." His treatment plan included full mouth extractions of his remaining teeth, bone grafting, and same day rehabilitation by placing immediate implants and immediate temporary prostheses, or "bridges." The patient was able to leave our office with a full complement of teeth and was able to eat a "soft diet." Case performed with: Dr. Sukhmani Singh and Dr. Samuel Chiu









